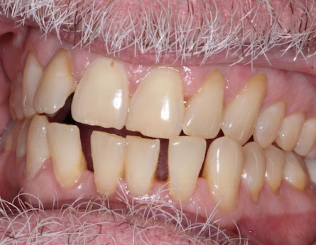
Bill came to us in 2017 and said he wasn't happy about the gaps on is bottom teeth and some of his teeth pointing outward. He started his Invisalign treatment to align his teeth in November 2021. His teeth were aligned in a short time of 4 months!


Bill came to us in 2017 and said he wasn't happy about the gaps on is bottom teeth and some of his teeth pointing outward. He started his Invisalign treatment to align his teeth in November 2021. His teeth were aligned in a short time of 4 months!